Tetoválás hegekre és egyéb bőrelváltozásokra
A tetoválás alkalmazása a hegekre és sebhelyekre, valamint egyéb bőrelváltozásokra a mindennapi életben (égési sérülések, hegek) és a sebészeti beavatkozások után szerzett különböző traumák elfedése érdekében szükséges.
Ez a szolgáltatás könnyen megbirkózik a természetes hegek átfedésével (a gennyesedés vagy a bőrszövetbe történő egyéb természetes beavatkozás utáni hegesedés).
A fent említett tökéletlenségek korrigálására a tetováló művész a következő tetoválási technika valamelyikét alkalmazza: álcázás (camouflage) vagy kollagén stimuláció. Ezeknek a módszereknek semmi közük egymáshoz, de mindkettő hatékony.

Kollagén stimuláció
Ez a technika hatékonyan oldja meg az olyan problémákat, mint a ráncok, hegek és sebhelyek.
Néha száraz tetoválásnak is nevezik, mivel az eljárás során csak egy tűt használnak, pigmentek használata nélkül. A mester a tűvel átjárja a problémás területet, és a bőr elkezd természetes módon kollagént termelni. Ez az eljárás meglehetősen biztonságos, és nincs káros hatással az egészségre vagy az általános megjelenésre. Minden természetes módon történik.
A kollagén fehérje a kötőszövet alapvető összetevője, nemcsak a bőrben, hanem a csontszövetben, az inakban és a porcokban is jelen van. Az évek során a szervezet lassan termeli ezt a fehérjét, ami viszont ráncokat és megereszkedett bőrt okoz. A vékony tűvel végzett kollagén stimuláció komolyabb károsodás nélkül hozza vissza a bőr tónusát. A kezelés után az ember kimehet a napra, és nem kell aggódnia a kinézete miatt.


Álcázási (camouflage) technika
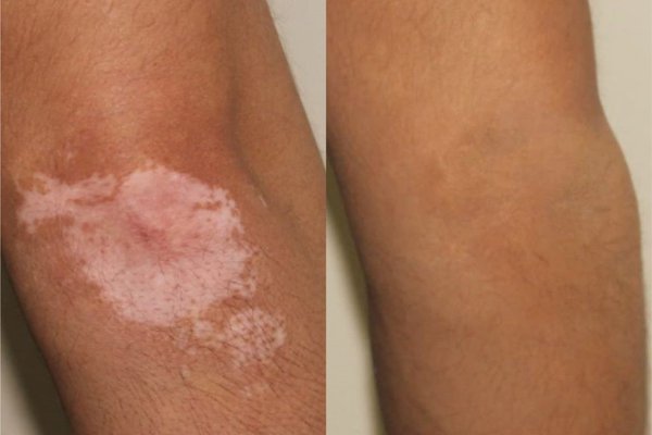
Ez a technika lehetővé teszi, hogy elfedje a bőr tökéletlenségeit, amelyeket nem lehet természetes módon eltüntetni.
A legtöbb esetben az álcázás az egyetlen módja annak, hogy megszabaduljunk a hibától. Gyakran az ilyen típusú álcázást kollagénnel történő stimuláció után végzik. Először a durva bőrfelületet kezelik, majd a területet a természetes bőrtípusnak megfelelő pigmenttel álcázzák. A pigmentet a lehető legtermészetesebb módon választják ki, és a végső eredményen nagyon nehéz észrevenni a heget vagy égési sérülést.
Az álcázási eljárás után az eredmény azonnal látható. A kezelt terület körül az első három napban enyhe bőrpír, néha duzzanat jelentkezhet. De három nap múlva ezek a tünetek eltűnnek, és Ön elégedett lesz a bőrének megjelenésével. A hegtetoválásnál gyógyulási időre van szükség. Nem tart sokáig, körülbelül néhány hétig. Ezután a heg észrevehetetlen marad.

Az eljárás alkalmazható
Az álcázási technika a következő hibákat küszöböli ki:
- Hasi műtét utáni hegek;
- Vakbélgyulladás utáni hegesedés;
- Császármetszés;
- Laparoszkópos műtétek;
- Sebhelyek;
- Égési sérülések az arcon és a testen;
- Mellműtét;
- Mellbimbó-növelés;
- Hegek a szemöldökön, az ajkakon és más arcfelületeken.


Az álcázási kezelés korlátozásai
Csakúgy, mint a hagyományos tartós tetoválás esetében, az álcázás is rendelkezik a következő ellenjavallatokkal:
- Terhességi és szoptatási időszak;
- Menstruációs időszak;
- Botox, fillerek, restylane;
- Antibiotikumok használata;
- Az immunserkentő készítmények alkalmazása valamint az immunmodulálók alkalmazása;
- Herpesz fertőzés;
- Akut bőrbetegségek;
- Inzulinfüggő cukorbetegség;
- Keloidok (kidudorodó hegszövet)
Továbbá, ha hipertrófiás hegek vannak a bőrön, az álcázás nem ajánlott. A hegesedés elnyelheti a pigmentet, vagy a festék nem egyenletesen oszlik el.
Hogyan történik a kezelés
Az álcázás előtt három nappal ne szedjen semmilyen vérhígító gyógyszert. Érdemes lemondani az aszpirinről, a teáról, a kávéról és az energiaitalokról is erre az időszakra.

Hogyan történik tehát az álcázási eljárás?
A mester kiválasztja az Ön bőrszínéhez viszonyított pigmenttónust.
Egy speciális filctollal vázlatot rajzolnak a kezelendő területre. Miután az ügyfél teljes beleegyezését adta, a szakember elvégzi a kezelendő terület érzéstelenítését. Erre a célra speciális krémeket vagy spray-ket használnak. Ezt követően a szakember egy készülék segítségével elkezdi felvinni a pigmentet a kívánt színben.
Általában ez az eljárás egy-két órát vesz igénybe, a kezelendő méretaránytól függően.


Kezelési ajánlások
- Az eljárás végén a szakember számos ápolási ajánlást ad Önnek. Fontos megérteni, hogy a végeredmény attól függ, hogyan ápolja az álcázás tetoválást.
- A kezelt bőrfelületet regeneráló krémmel kell bekenni. Sebváladék termelődése esetén óvatosan, súrolószerek használata nélkül kell lemosni. A teljes gyógyulásig tartózkodni kell az uszoda, szauna és gyógyfürdő látogatásától. A hagyományos tetováláshoz hasonlóan az álca tetoválás területen is pörk képződik, amelyet szigorúan tilos letépni.
- Az álcázás tetoválás megfelelő és rendszeres ápolása, a bőr regenerálódási időszakában, hosszú éveken át minőségi eredményekkel fogja Önt örvendeztetni.